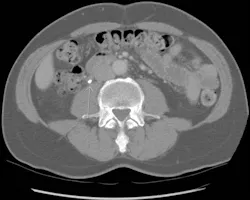
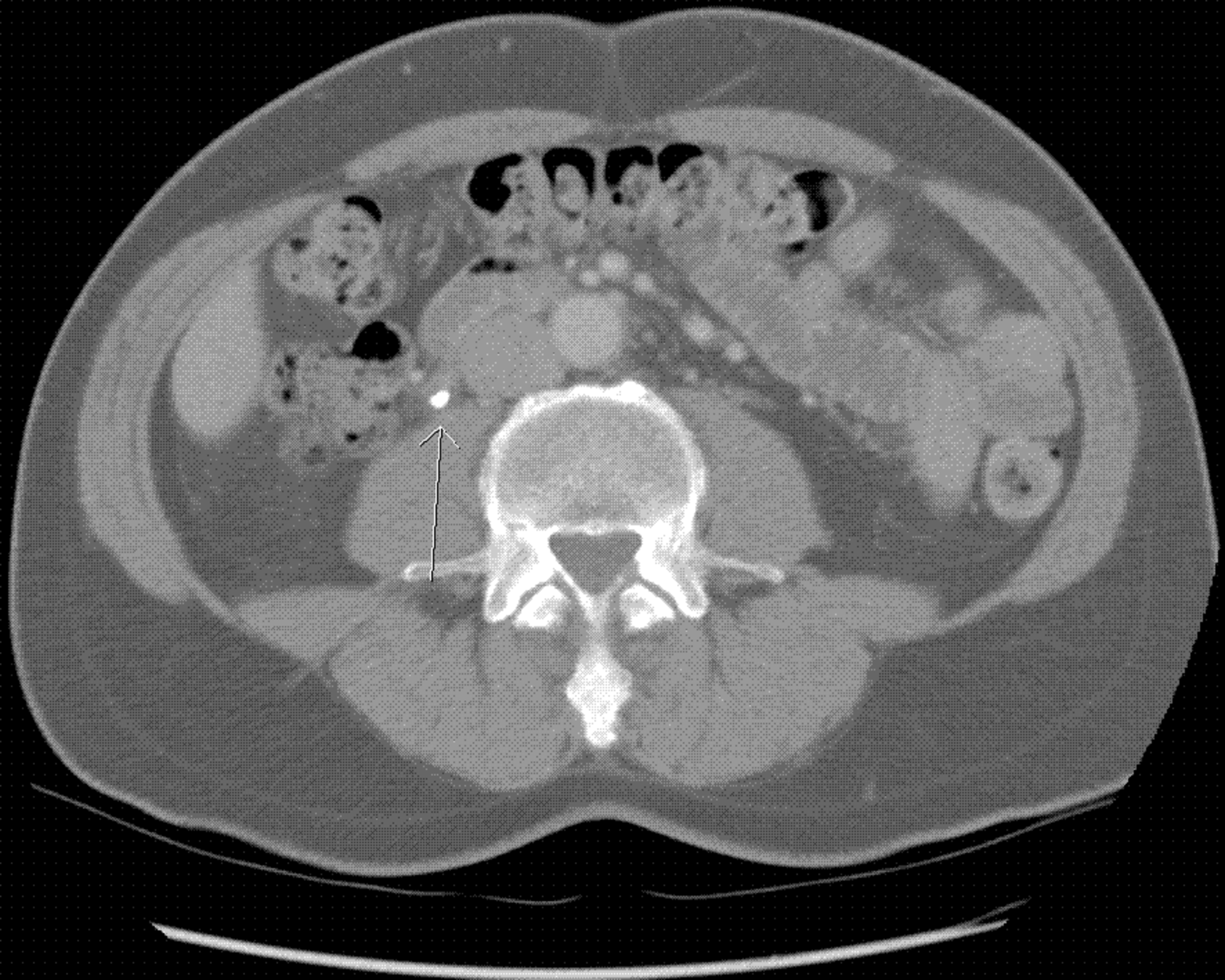
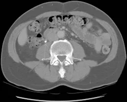
Hey! Want to see my Kidney Stone?
If you know me, you know that I believe in imaging technology and I am always interested in “practicing what I preach.” So, it should come as no surprise that several years ago when I was the unlucky recipient of a 6 mm kidney stone, I went to the to the Medical Records Department of the hospital after my ER visit, and requested a CD of my images! More on the significance of this later.
The other technology was Merge Healthcare’s Cedara WebAccess, and Merge Mobile for the iPhone, an application that lets medical professionals and patients view digital medical images on their Apple iPhone or iPod Touch. Cedara WebAccess expands that capability to all Web-enabled devices, including PDAs that compete with the iPhone. McKesson Corporation has shown similar technology for the past two years as part of their advanced user interface research.
So, what is the significance of any image, anywhere, any time? Are these practical applications, or a novelty? Is the significance of such technology that it will open new markets in ways that we do not yet perceive? To me, this is the major question regarding these technologies.
In relation to the CD of my kidney stone, it really served no medical purpose to have it. I took it with me on a follow up visit to my general practitioner, and he had no way (or interest) in viewing it! He had received the report from the Urologist, and that was all he needed. So, outside of the novelty of saying I have my images, what purpose does it serve?
I am concerned about the impact of these forthcoming technologies. Does the average consumer care to have his/her images on their iPhone? Recently, there has been controversy in the news about the impropriety of certain self-portrait phone photos showing up on the Internet. Could the same be true for medical images? And, what is the liability of this happening? Carrying images of one’s child has always been popular – will this now mean that one can carry around Ultrasound images of their unborn child? As most images that would be significant are going to be for a positive diagnosis, does John Doe really want to be carrying around images of his brain tumor?
Is there a clinical benefit to the physician or medical staff to have non-diagnostic images delivered in this manner? Would any physician make a treatment decision based on having access to non-diagnostic images delivered to their phone? On the other hand, even though non-diagnostic, does the capability provide a good enough image to allow clinicians to decide if it warrants additional exploration, and is this a time saver to the physician?
Perhaps the Agfa demonstration is more relevant. If the technology could provide more rapid access to images from more locations, could it improve the productivity of physicians for such applications as Teleradiology? Does it usher in a new age of real-time referral and second opinions?
So, am I old-school, or am I missing something with regard to the significance of image display on a mobile device? Perhaps a survey of teenagers that live on their phones for both voice and Instant Messaging would be a good bellwether of the significance. I am interested in your perspective as a member of the healthcare community. What do you think? Will this usher in a new age of image accessibility? I welcome your perspective!
